Case report: Hey guys, we had a patient that came in for acute AMS with neural focal deficit- activated as a code stroke. Patient was found to have acute infarct, acute subarachnoid hemorrhages on the CT non contrast. Patient was also positive for SIRS with significant infectious process, increased WBC and lactate. History of recent hospitalization for cellulitis. The patient was eventually worked up for sepsis. She had an episode of seizure activity and intubated for airway protection.
Although PRES is associated with other condition(s) such as preeclampsia, eclampsia, autoimmune disease, cancer chemotherapy, transplantation including bone marrow or stem cell transplantation, hypertension, our focus will be geared towards sepsis.
What is PRES syndrome
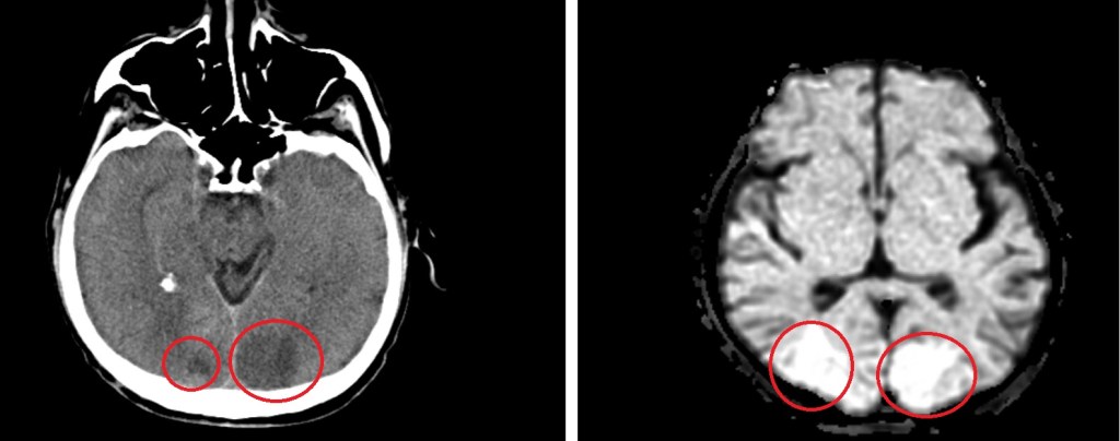
Posterior reversible encephalopathy syndrome (PRES) is a clinico-radiological syndrome characterized by a headache, seizures, altered mental status and visual loss and characterized by white matter vasogenic edema affecting the posterior occipital and parietal lobes of the brain predominantly | source: https://www.ncbi.nlm.nih.gov/

.
left: CT non contrast | right: MRI brain
PRES and Sepsis
… the immunogenic theory, which is thought to involve activation of T cells and release of cytokines can be considered as the most relevant since cytokine-mediated mechanism inducing sepsis is very similar to those underlying PRES | https://jag.journalagent.com/travma/pdfs/
… an alternative theory is that PRES is a result of a systemic inflammatory state causing endothelial dysfunction. That postulate is supported by the observation that PRES is usually associated with a systemic inflammatory process such as sepsis, eclampsia, transplantation, and autoimmune disease | https://www.ncbi.nlm.nih.gov/pmc/articles/PMC3524908/
reference:
https://radiopaedia.org/articles/posterior-reversible-encephalopathy-syndrome-1?lang=us
Names, dates, and personal identifying details have been changed throughout this website to comply with the Health Insurance Portability and Accountability Act (HIPAA). ** | This website runs on coffee. Thank you for supporting this journey!
Leave a comment