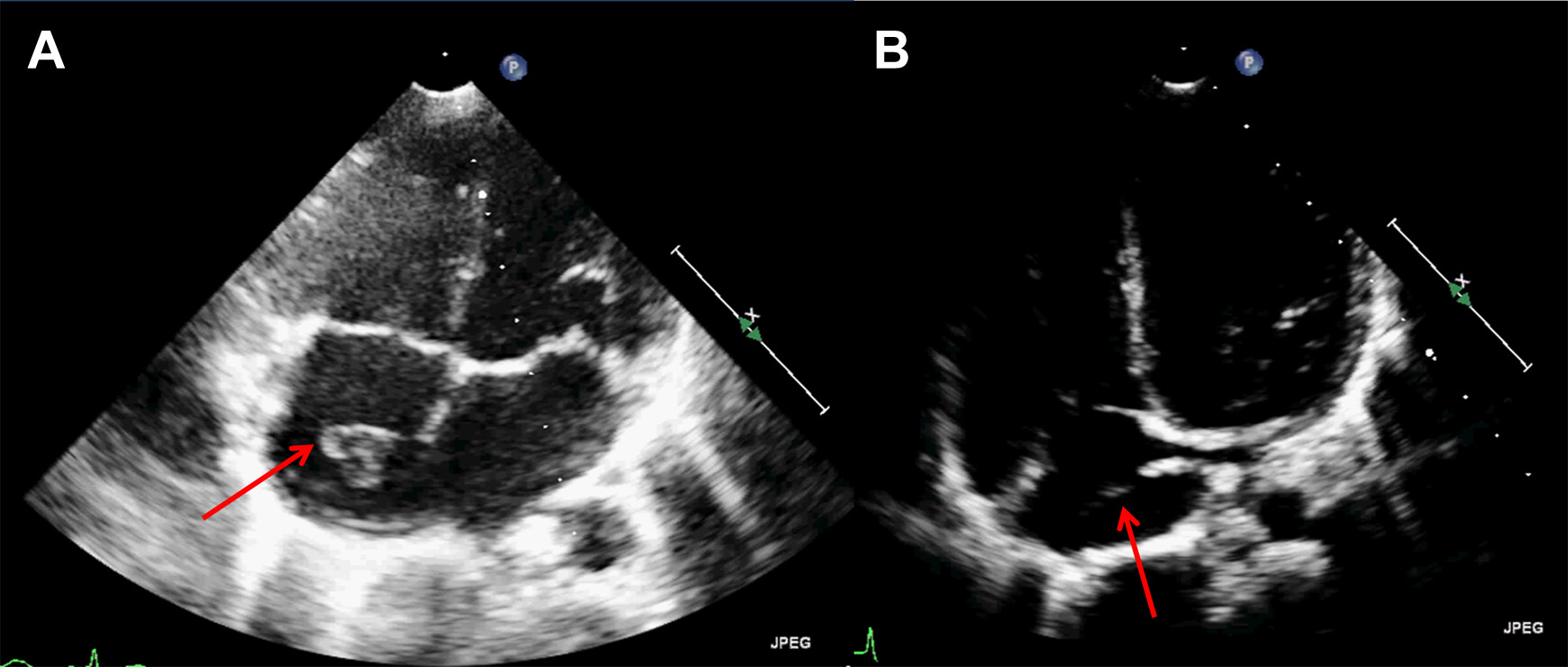
Hi team! Since we perform NP-POCUS in resuscitating septic patient we might have or might encounter this image/assessment in our apical four chamber view of the heart. The Chiari network, encountered infrequently in the right atrium, is a fenestrated, net-like embryonic remnants of valves of sinus venosus, lying closely in relation to the inferior vena cava and coronary sinus, sometimes connecting these with other right atrial structures…
The Chiari network results from failure of resorption of the right sided sinus venosus valve. Developmentally, the right valve of the sinus venosus evolves into two valves: the valve of the inferior vena cava (Eustachian valve) and the valve of the coronary sinus (Thebesian valve). During involution of these valves, the tissue undergoes fenestration so that a network may be formed from remnants that usually disappear…
sometimes it poses diagnostic difficulties during echocardiography where it could be misdiagnosed as right atrial thrombi, tumors and vegetations…- NCBI

image credit to Sage Journals
Names, dates, and personal identifying details have been changed throughout this website to comply with the Health Insurance Portability and Accountability Act (HIPAA). ** | This website runs on coffee. Thank you for supporting this journey!
Leave a comment