Hey guys, first post!
On this site we will bring up different clinical scenario(s) and breakdown the most important and relevant information just like we do a quick five minute report/huddle as a team. I hope you find this helpful!
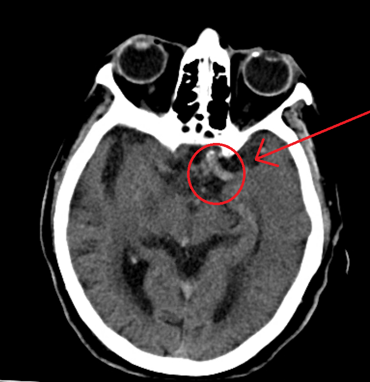
Case report: We had a patient come in for a chief complaint of sudden onset right sided weakness, on eliquis for atrial fibrillation, found altered at home, hypertensive in the systolic 200’s en route. We were suspecting a massive head bleed; instead, the CT non contrast revealed this classic sign of hyperdense MCA. Patient was prepped for an emergent thrombectomy.

The ‘hyperdense MCA sign’ refers to an appearance of increased attenuation of the proximal middle cerebral artery (MCA) that is often associated with thrombosis of the M1 MCA segment and may be the only diagnostic feature on computed tomography early after ischaemic stroke. It is seen within 90 minutes after the event. | https://pubmed.ncbi.nlm.nih.gov/11070370/
Names, dates, and personal identifying details have been changed throughout this website to comply with the Health Insurance Portability and Accountability Act (HIPAA). ** | This website runs on coffee. Thank you for supporting this journey!
Leave a comment