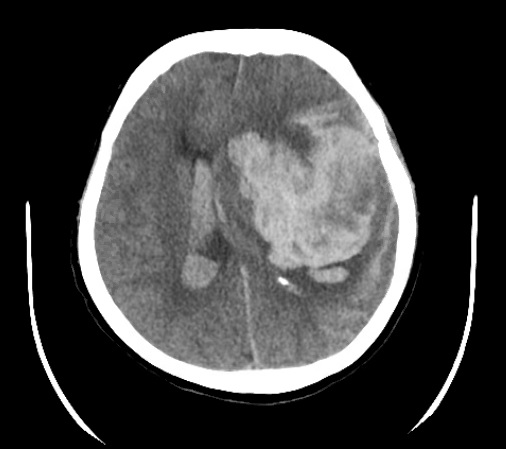
Case report: Hi guys, we had a patient come in with a massive head bleed. Intubated prior to CT. Neurosurgery came by to assess the patient after 40 min of (RSI) intubation. MD wanted to reverse Rocuronium with Sugammadex to do a full neurologic assessment for possible neurosurgical intervention.
What is Sugammadex
SUGAMMADEX (soo GAM ma dex) is used to reverse the effects of the muscle relaxants rocuronium and vecuronium. These medicines are given to patients during surgery. This medicine may be used for other purposes.
Rocuronium. The onset of action is dose-dependent from 45—120 seconds, with a duration of action 30—90 minutes.
Within a few seconds (10) of reversal, neurosurgery was able to perform neurological assessment.

.
Names, dates, and personal identifying details have been changed throughout this website to comply with the Health Insurance Portability and Accountability Act (HIPAA). ** | This website runs on coffee. Thank you for supporting this journey!
Leave a comment